Rayos X


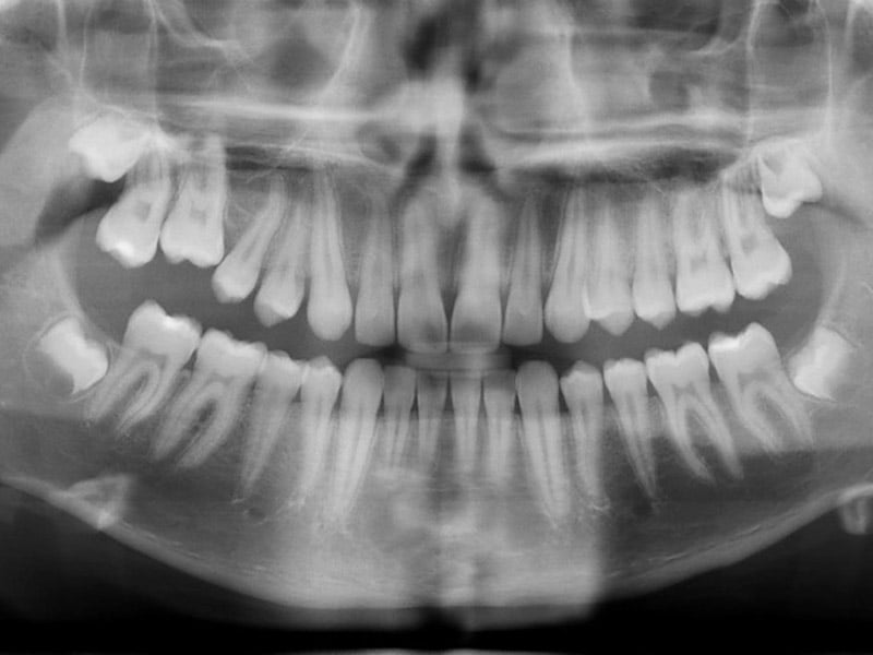
Los rayos X dentales (también llamados radiografías) son una parte importante del tratamiento dental porque pueden detectar daños en los dientes y las encías que no son evidentes durante un examen visual de rutina.

Por ejemplo, las radiografías pueden mostrar la condición de tus dientes, sus raíces, el posicionamiento de la mandíbula y la composición general de los huesos de tu cara. Las radiografías pueden ayudar a tu dentista a determinar la presencia o el grado de enfermedad periodontal (en las encías), caries, abscesos y varios bultos, como quistes y tumores.
rayos2-800x600

Características

Ubicación exacta de dientes traumatizados
Lorem Ipsum has been the industry's standard dummy text ever since the 1500s, when an unknown printer took a galley of type and scrambled it to make a type specimen book.
Detectar y tratar problemas dentales en una etapa temprana
Lorem Ipsum has been the industry's standard dummy text ever since the 1500s, when an unknown printer took a galley of type and scrambled it to make a type specimen book.
Tumores escondidos
Lorem Ipsum has been the industry's standard dummy text ever since the 1500s, when an unknown printer took a galley of type and scrambled it to make a type specimen book.
Agendar cita:

Translate »